İleri Düzey Görüntüleme Merkezi

Bilgisayar Tomografi (BT)

Kısa Sürede Size Ulaşırız!

En hızlı sürede mükemmel görüntüleme tekniği

+7 Avantajlarımız

Yeni nesil 384 kesit Siemens BT cihaz

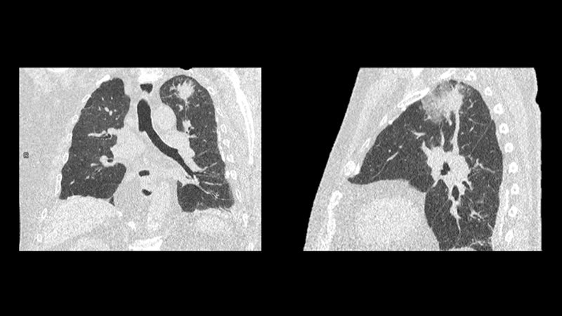
  • Daha az kontrast madde kullanarak vücuttaki tüm atar damarları yüksek kalitede görüntülüyoruz.
  • Aynı anda roleout, koroner arterler ve pulmoner arterler görüntülemesini tek seferde, daha az kimyasal maddeyle renkli görüntülemesini yapabiliyoruz.
  • Yüksek kilosu olan hastalar için sınırımızı 227 kg’a kadar yükselttik.

Düşük radyasyon

Yeni nesil Siemens BT cihazı ile en düşük dozda radyasyonla hızlı tarama yapıyoruz.

3D Görüntüleme

Kardiyak fonksiyonların değerlendirmelerini özel 3D görüntüleme tekniği ile yapıyoruz

Hızlı Tarama

MR’da uzun süre kalamayan hastalar için hızlı sevk ve tarama işlemi sağlıyoruz.

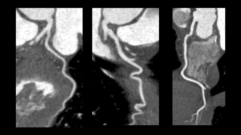
BT Anjiyografi

Evar protokolü ile hızlı koroner anjiyografi imkanı tanıyoruz.

Dual enerji yöntemi

Yapılacak Çekimler Sayesinde Aşağıdaki Işlemler Yapmaktayız:

  • Böbrek taşlarının yapısının analizi, kalsiyum oksalat taşları görüntülemesi ve gut tofüsleri (şişlikleri) görüntülemesi,
  • Böbrek yetmezliği ya da e-GFR değeri düşük hastalarda, çok düşük seviyede kontrast madde kullanarak renkli anjiyografi çekimleri,
  • Metal uzaklaştırma programı ile protez ve implantların, kemik ve yumuşak dokudan ayrılması ve yumuşak dokuların daha optimal olarak değerlendirilmesi,
  • Ca++ plaklarının görüntü üzerinden atılması,
  • Sinematik 3D görüntülerin oluşturulmasıyla, cerrahi öncesi planlama ve değerlendirmenin yapay gerçeklikle değerlendirilmesi,
  • Sanal bronkoskopi ve kolonoskopi yapılması,
  • X-care yazılımı ile beyin BT incelemelerinde lensin zarar görmesinin engellenerek katarakt gelişim riskinin azaltılması sağlanıyor.
  • “Kontrastlı çekimleri en doğru ve güvenli bir şekilde yapabilmek için BT cihazına uyumlu yeni jenerasyon çift başlıklı otomatik enjektör cihazı”

İleri Düzey Teknoloji

Teknolojilerimiz hakkında daha fazla bilgi

Çok sayıda hastalığın teşhisinde başvurulan radyolojik görüntülemeler, radyoloji uzmanlarınca yapılmaktadır. Kısaltması BT olan bilgisayarlı tomografi ise, radyoloji ana bilim dalınca yoğunlukla tercih edilen bir görüntüleme tekniğidir. Ataşehir Avicenna Hastanesi, çok sayıda hastalığın tanı, teşhis ve gözlem süreçlerinde bilgisayarlı tomografi tekniğinden faydalanmaktadır.

Tedavinizi Ertelemeyin

Bugün Bize Ulaşın ve İhtiyacınız Olan Tüm Bilgileri Alın

Hekimlerimiz ile tanışın

Avicenna Kalitesinde Sağlık

Avicenna Ataşehir Hastanesi
Ataşehir, Küçükbakkalköy mah. Kayışdağı Cad. İstanbul, Türkiye

🇹🇷 المستشفى الأكثر ترجيحاً في تركيا لمتحدثي اللغة العربية في عام ٢٠٢٤

🇹🇷 المستشفى الأكثر ترجيحاً في تركيا لمتحدثي اللغة العربية في عام ٢٠٢٤